Pet Dental Cleanings
SCHEDULE YOUR NEXT PET DENTAL CLEANING AT OUR ANIMAL HOSPITAL
While most pet owners are familiar with using dental treats to help fight bad breath, regular pet dental cleanings are key to maintaining your pet’s overall health. Like humans, dogs and cats can experience a buildup of plaque and tarter that can cause gingivitis and periodontal disease. If left untreated, periodontal disease can severely impact your dog’s heart, liver, and kidneys. To prevent this, our animal hospital is proud to provide professional pet dental cleanings.
While the frequency of dental checkups may vary depending on their breed, age, and overall health, at
A Couple of Vets, we recommend scheduling a teeth cleaning appointment for your pet at least once a year starting around the age of 6 months. This allows our staff to ensure their teeth and gums are healthy and developing normally. Smaller dogs may need more frequent cleanings as they are more likely to develop periodontal disease while dogs who play hard or chew more voraciously may need additional care for damaged teeth.
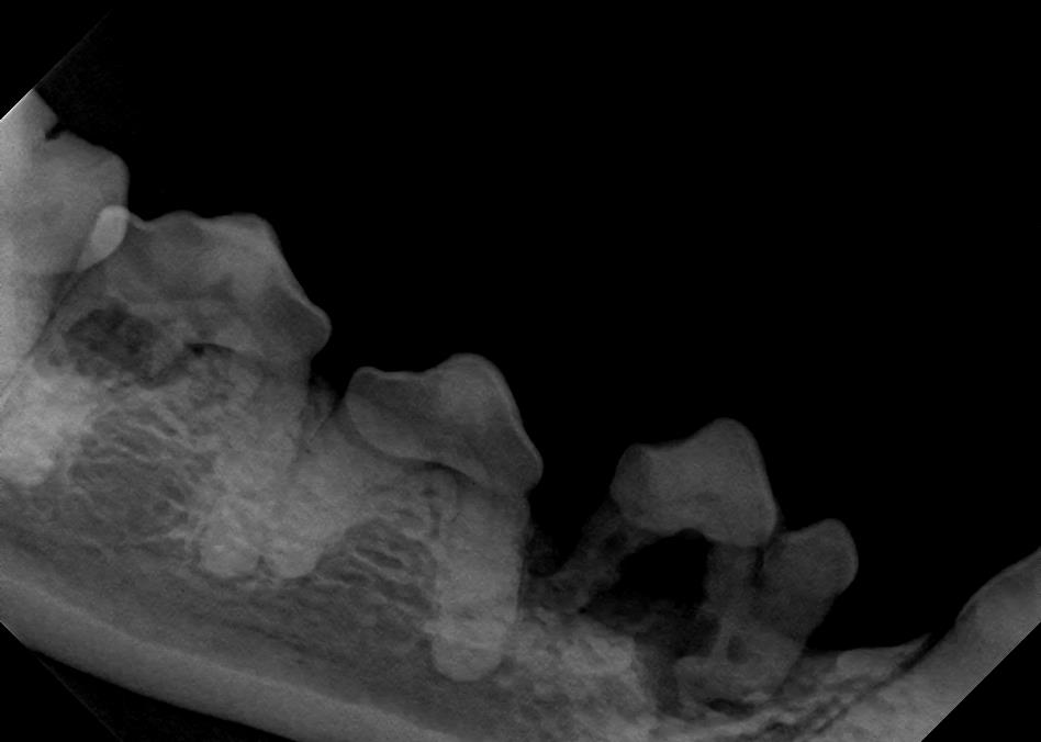
Examples of dental problems:
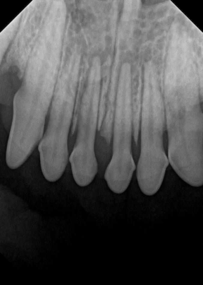
Examples of healthy teeth:
CALL OUR VETERINARY CLINIC IN SPRING, TX TO MAKE AN APPOINTMENT
At A Couple of Vets, our animal hospital staff is well-versed in the latest dental cleaning techniques to remove plaque and tarter from the teeth’s surface as well as from below the gum line. We perform dental x-rays at every cleaning to ensure that the teeth are completely healthy. They may look good on the surface, but many problems occur below the gum line and are only visible with x-rays.
While giving dental treats or brushing your pet’s teeth at home with a toothbrush and dog-safe toothpaste can help keep their breath smelling fresh, scheduling regular pet dental cleanings is the best way to ensure your pet’s oral health and keep their smile looking great. Yearly dentals can help save money and your pet's teeth in the long run!
Serving pet owners throughout Spring, The Woodlands, Tomball, TX, and the nearby communities,
call our veterinary clinic today to schedule your appointment!




















